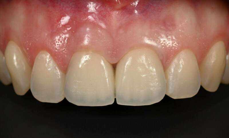
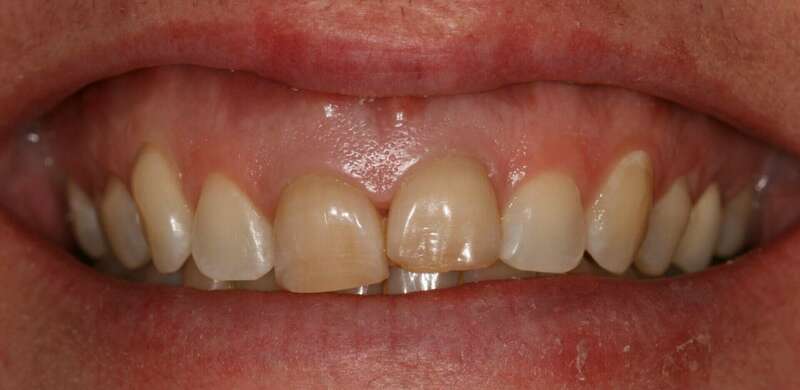
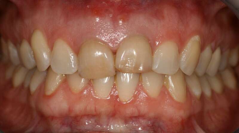
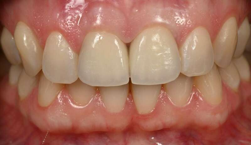
Cas n°1 - Patiente de 40 ans incisive centrale fracturée.
Cas n°2 : Génésie des dents 12/22// Pose de 2 implants // Couronnes transvisées 12/22
Cas n°3 : Extraction et implantation des dents 11/21
©2024 Cabinet Dentaire Bellignat
| Lundi | 9h - 13h, 14h - 17h30 |
| Mardi | 9h - 13h, 14h - 18h |
| Mercredi | 9h - 12h45, 14h - 18h |
| Jeudi | 9h - 13h, 14h - 18h |
| Vendredi | 9h - 13h, 14h - 17h15 |
| Samedi | Fermé |
| Dimanche | Fermé |
